|
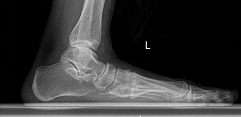
Arkadaşlar merhaba, haziran sonuna doğru tecilim bitiyor. Yoklama işlemlerini halledip sağlık kontrolüne girip muafiyet almak istiyorum. Başlıktan anlaşılacağı üzere düz tabanım ve bundan dolayı bacaklarımda, belimde, aşil tendonumda, ayak kemerimde, tarsal kemiklerde ağrılarım olmakta(kuboid sendromum var). Maalesef 5 dk bile yürümeye kalksam veya bir süre ayakta sabit dursam ayağımın ortası ağrımaya başlıyor. Ayağımın röntgenini henüz çektiremedim ancak dışarıdan çekilmiş fotoğraflarını yükledim. Daha önce bu hususta muafiyet almış veya bilgisi olan arkadaşlar beni bu hususta aydınlatabilirse çok sevinirim. Sağlıklı günler dilerim. ![]() ![]() < Bu mesaj bu kişi tarafından değiştirildi sosyaliçici -- 3 Haziran 2024; 16:23:34 > |
|
_____________________________
|




Yeni Kayıt

1 Mobil
Konudaki Resimler










Hızlı






