Bildirim
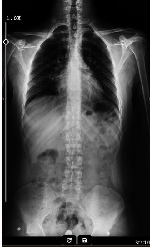
Skolyozum kaç derece gibi duruyor
Daha Fazla 
Bu Konudaki Kullanıcılar:
Daha Az
2 Misafir - 2 Masaüstü
Giriş
Mesaj
Sayfa:
1
Ip işlemleri
Bu mesaj IP'si ile atılan mesajları ara Bu kullanıcının son IP'si ile atılan mesajları ara Bu mesaj IP'si ile kullanıcı ara Bu kullanıcının son IP'si ile kullanıcı ara
KAPAT X
Bu mesaj IP'si ile atılan mesajları ara Bu kullanıcının son IP'si ile atılan mesajları ara Bu mesaj IP'si ile kullanıcı ara Bu kullanıcının son IP'si ile kullanıcı ara
KAPAT X




Yeni Kayıt

Konudaki Resimler

Hızlı






